딥노이드, 일본 의료 AI 시장 진출 본격화…‘Medical Japan OSAKA 2025’ 참가
- sjchoi8
- 2월 28일
- 1분 분량
- 3월5일부터 3일간 개최되는 ‘메디컬 재팬 오사카(Medical Japan OSAKA)’ 부스 참여
- ‘DEEP:NEURO(딥뉴로)’와 ‘M4CXR’ 모델을 중점적으로 소개
- 현지 의료 기관 및 기업과의 전략적 제휴와 긴밀한 협력을 통해 기술의 현지화 주력
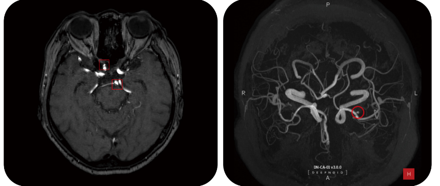
![[사진1] 딥뉴로 판독화면](https://static.wixstatic.com/media/e28c14_2bd4b0fec2674cb98e2d10973e0b434e~mv2.png/v1/fill/w_858,h_363,al_c,q_85,enc_avif,quality_auto/e28c14_2bd4b0fec2674cb98e2d10973e0b434e~mv2.png)
국내 1세대 의료 인공지능 전문기업 ㈜딥노이드(대표 최우식)가 일본 시장 진출을 본격화한다.
딥노이드는 3월5일부터 3일간 개최되는 일본 의료 산업 전시회 ‘메디컬 재팬 오사카 2025 (Medical Japan OSAKA2025)’에 부스 참여한다. 현지 의료 시장에 최적화된 솔루션과 전략으로 글로벌 입지를 확대해 나가기 위함이다.
‘메디컬 재팬(Medical Japan)’은 일본 최대 규모의 의료·병원·제약 산업 전시회로, 매년 오사카와 도쿄에서 개최된다. 다양한 의료 전문가와 산업 관계자가 참석하는 이 행사에서 딥노이드는 ‘DEEP:NEURO(딥뉴로)’와 ‘M4CXR’ 모델을 중점적으로 알린다.
대도시가 아닌 지방에서 부족한 수의 의료진을 도와 높은 정확도로 질단을 보조할 수 있는 솔루션이 필요하다. DEEP:NEURO(딥뉴로)는 이러한 의료현장에서 2nd opinion을 제공함으로써 높은 수준의 뇌동맥류 판독이 이루어질 수 있도록 도움을 줄 수 있다.
M4CXR은 흉부 X-ray에서 병변을 탐지하고, 판독문을 자동으로 작성하는 생성형 AI 모델이다. 판독 결과에 대해 채팅을 통한 질문이 가능하며, 자동판독결과에 대한 상세한 정보를 제공한다. 이는 의료진의 과중한 업무를 줄일 수 있으며, 한층 고도화된 판독 결과를 제시하도록 돕는다.
![[사진2] M4CXR 활용 예시](https://static.wixstatic.com/media/e28c14_af289853874e471abbf63d1d6b9279b3~mv2.png/v1/fill/w_915,h_445,al_c,q_90,enc_avif,quality_auto/e28c14_af289853874e471abbf63d1d6b9279b3~mv2.png)
현재 딥노이드는 KOL(Key Opinion Leader) 확보를 위해 현지의 전문 컨설팅업체와 긴밀하게 협력중이며, 대학병원과 정기적인 공동 연구 등을 적극적으로 협의하고 있다. 이번 학회를 시작으로 일본 내 뇌신경학회 및 영상의학회 등에도 활발히 참가해 일본 의료 산업 전반에 걸친 네트워크를 확장할 계획이다.
딥노이드 최현석 CMO(최고의료책임자)는 “일본은 고령화 사회로 인해 의료 AI 및 디지털 헬스케어 분야에서 혁신적인 솔루션에 대한 수요가 빠르게 증가하고 있는 시장”이라며, “메디컬 재팬 오사카 참가를 통해 현지 의료 기관 및 기업과의 전략적 제휴와 긴밀한 협력을 통해 기술의 현지화 및 서비스 개선에 주력할 것”이라고 밝혔다.











댓글